[dt_sc_hr_medium]
Impianti dentali: le fasi
[dt_sc_one_third first]
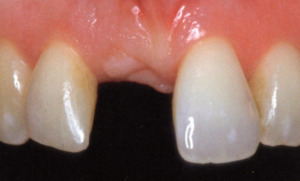
[dt_sc_icon_box type =” type1″ title=’Sito guarito in seguito all’estrazione dentale’ link=’#’ ]
[/dt_sc_icon_box]
[/dt_sc_one_third]
[dt_sc_one_third]
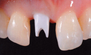
[dt_sc_icon_box type =” type1″ title=’Inserimento di una Fixture NobelActiveTM’ link=’#’ ]
[/dt_sc_icon_box]
[/dt_sc_one_third]
[dt_sc_one_third]
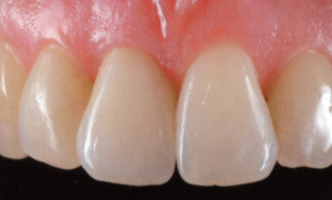
[dt_sc_icon_box type =” type1″ title=’Visualizzazione della soluzione estetica finale’ link=’#’ ]
[/dt_sc_icon_box]
[/dt_sc_one_third]
[dt_sc_clear]
Clicca sulle foto per ingrandirle.
[dt_sc_hr_medium]
Semplificando si può dire che l’impianto dentale (chiamato Fixture) riproduce e sostituisce la radice dentale, appunto come una radice artificiale.
Qualora un dente, con la sua radice, andasse perduto, con le tecniche tradizionali, si era costretti a limare i denti adiacenti per poter inserire un ponte.
Oggi, grazie all’implantologia, è possibile ripristinare il dente perso, senza “danneggiare” gli altri denti, ottenendo così un perfetto restauro della situazione originale.
Il sofisticato design delle Fixture attuali è stato studiato per favorire la migliore “integrazione” biologica.
La stabilità dell’impianto risulta ottimale fin dal suo inserimento nell’osso, cosicchè è quasi sempre possibile inserire contemporaneamente anche la corona estetica.




